横浜でモフィウス8が
安いおすすめのクリニックはどこ?
モフィウス8の痛みは
どのくらい?
「肌のハリが無くなってきた」「急に老けてきた気がする」といった悩みを抱えている方も多いのではないでしょうか。
モフィウス8は、マイクロニードルと高周波(RF)を組み合わせて、肌のハリや引き締め効果を高める最新の美容医療です。
目元や口元のたるみ、小じわにアプローチできる施術として、横浜でも人気が高まっています。
編集部ナチュラルな美しさを大切にする横浜の女性たちから支持を集める理由は、切らずに若々しい印象を目指せる点にあります。
この記事では、横浜でモフィウス8が安いおすすめのクリニックを紹介していきます。
結論、横浜でモフィウス8が安いクリニックを選ぶ際は「満足度・ダウンタイム・料金」を確認することがおすすめです。
上記のポイントを総合的に満たしたクリニックとして、湘南美容クリニックがおすすめです。
モフィウス8が目の下1回78,000円!
湘南美容クリニックの特長まとめ
- 高周波(RF)で切らない施術ができる!強く引き締めるからたるみも改善◎
- 頬・顎下・首などの部位にも対応!目の下2回・頬+顎下+首2回にはモニター価格があるためお得に施術できる◎
- 施術は看護師ではなく医師が担当!麻酔もあるため痛みも軽減され、オーダーメイド照射でより高い効果が期待できる◎
【簡単】まずはここから30秒で施術予約!
横浜でモフィウス8を受けられるクリニックの中から、評判が良く、当記事が特におすすめする3院を厳選して紹介します。
| 湘南美容クリニック 横浜付近1院 | 銀座よしえクリニック 横浜院 | 綱島あお 整形外科・皮膚科 | |
![]() | ![]() | ![]() | |
| 費用 | 目の下2回: 118,000円(税込) ※モニター価格 | 目の下1回: 143,000円(税込) | 目の下3回: 165,000円(税込) |
| 評判 | 満足度 97% (当院調べ) | 満足度 93% (当院調べ) | 満足度 92% (当院調べ) |
| 保証 | アフターケア無料 | 記載なし | 記載なし |
| 予約 画面 | 詳細 | 詳細 | 詳細 |
鏡を見るたびに「前よりハリが無くなった気がする」などと悩んでいる方から、モフィウス8の人気は高いです。
そんな人気のモフィウス8ですが、「なぜモフィウス8を選んだのか」を実際の声から知りたいという方も多いでしょう。
そこで編集部では、横浜でモフィウス8を受けた方を対象に独自のアンケートを行い、施術を受けようと思った理由について調査しました。

モフィウス8を受けようと思った理由に関するアンケート調査
調査期間: 2025年4月の全期間
調査機関: まぶたのクリニック
調査方法: CrowdWorks・街頭インタビュー調査
調査対象: モフィウス8を受けた、または検討した88人
調査結果:
- フェイスラインやたるみを引き締めたかった: 43%
- 毛穴や肌の凹凸を改善したかった: 25%
- 小じわやハリを改善したかった: 20%
- SNSや美容系メディアで話題になっていたから: 12%
68%が「たるみや肌質の悩み」からモフィウス8を選択。
アンケート調査の結果、横浜でモフィウス8を受けた方のうち68%の方が、「たるみや肌質の悩み」をきっかけに施術を受けていることが分かりました。
横浜で人気のモフィウス8は、ハリ・毛穴・たるみなど複合的な肌悩みに効果が期待できる施術です。
費用は1回あたりおよそ10万〜20万円前後が相場とされています。
「気になるけれど価格が高くて迷う」「どこで受けるのがお得か知りたい」という方も多いでしょう。
編集部そんな方には、湘南美容クリニックのモニター適用がおすすめです。
モニター価格なら2回で118,000円(税込)と相場よりも安く、痛みやダウンタイムが少ない点も高く評価されています。
横浜でモフィウス8をモニター価格で受けたい方は、無料カウンセリングの予約が必須です。
お得に高品質なモフィウス8を受けたい方は、まず湘南美容クリニックの無料カウンセリング予約を行いましょう。

\横浜で安いおすすめのモフィウス8を体験!/
※湘南美容クリニックなら医師照射でも安い!
78,000円でモフィウス8が受けられる。
※無理な勧誘はなく、カウンセリングは無料です。
編集部ここからは、厚生労働省認定の看護師であるまぶたのクリニックのコラム編集部が以下の内容を解説します。
横浜でモフィウス8が安いクリニックのおすすめの選び方を徹底紹介!

横浜でモフィウス8が安いクリニックを選ぶためには、下記の3つが大切です。
横浜でおすすめのモフィウス8はまだ新しい美容医療であるため、受けたことない方は不安に思うでしょう。
そこで、実際に湘南美容クリニックでモフィウス8を受けた方の声を見ていきましょう。
経験者湘南美容クリニック
初めての美容クリニックで緊張しましたが、カウンセリングの方も先生もとても丁寧で、安心して施術を受けることができました。
説明も分かりやすく、無理な勧誘もなかったです。
経験者湘南美容クリニック
スタッフの方が皆さん笑顔で対応してくださり、終始リラックスできました。
施術中も痛みや不安がないか声をかけてくれて、細やかな気遣いがありがたかったです。
経験者湘南美容クリニック
技術が高くて仕上がりに満足しています。
先生の手際も良く、カウンセリングで伝えた希望どおりの自然な結果になりました。
感想から分かるように、湘南美容クリニックは「丁寧なカウンセリング」「スタッフの対応の良さ」「技術力の高さ」で高い評価を得ています。
初めての方でも安心して相談できる雰囲気があり、理想に合わせた施術を提案してもらえる点も魅力です。
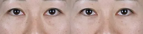
それでは、実際にどれくらい変化が出たのか症例写真をみていきましょう。
\湘南美容のモフィウス8症例写真/
![]() | ![]() | ![]() | |
| 施術 | モフィウス8 | モフィウス8 | モフィウス8 |
| 医師 | 西川 礼華 医師 | 松原 譲二 医師 | 角田 秀貴 医師 |
| 予約画面 | 詳細 | 詳細 | 詳細 |
症例写真からも分かるように、モフィウス8を受けた方の肌は引き締まってハリ感がアップしています。
自分の肌も良くしたい、今の状態からどうしたらよいか悩んでいる方は、ぜひ湘南美容クリニックの無料カウンセリングを予約して相談しましょう。
モフィウス8が気になる方は、湘南美容クリニックで納得のいく施術を体験してみましょう。

\横浜で安いおすすめのモフィウス8を体験!/
※湘南美容クリニックなら医師照射でも安い!
78,000円でモフィウス8が受けられる。
※無理な勧誘はなく、カウンセリングは無料です。
横浜でモフィウス8が安いクリニックのおすすめの選び方①満足度を確認する

編集部横浜でモフィウス8が安いクリニックのおすすめの選び方1つ目は、「満足度を確認する」ことです。
横浜でモフィウス8が安いクリニックを選ぶ際に、安いだけで選んでしまうと仕上がりに満足できないこともあるので危険です。
よって、満足度の高いクリニックを選ぶことが大切です。
編集部では、実際にモフィウス8の施術を体験した方にアンケートを行い、施術後の仕上がりをどのように感じているのか調査しました。

モフィウス8の施術後の仕上がりに関するアンケート調査
調査期間: 2025年4月の全期間
調査機関: まぶたのクリニック
調査方法: CrowdWorks・街頭インタビュー調査
調査対象: モフィウス8を受けた、または検討した88人
調査結果:
- 非常に満足している: 45%
- おおむね満足している: 30%
- やや不満がある: 15%
- 満足していない: 10%
75%が「満足している」と回答。
アンケート調査の結果、横浜で実際にモフィウス8を受けた方のうち75%の方が、「仕上がりに満足している」ということが分かりました。
編集部仕上がりへの満足度が高いモフィウス8は、「鏡を見るのが楽しくなった」という声も多く寄せられています。
気になる肌のゆるみや質感を整えたい方は、専門医の提案で理想の肌を目指せます。
湘南美容クリニックでは、目の下2回が118,000円(税込)で受けられるモニターキャンペーンを実施中です。
モニター価格でお得にモフィウス8を受けるには、無料カウンセリング予約が必須です。
気になる方は今すぐ無料カウンセリング予約を行い、お得にモフィウス8を体験しましょう。

\横浜で安いおすすめのモフィウス8を体験!/
※湘南美容クリニックなら医師照射でも安い!
78,000円でモフィウス8が受けられる。
※無理な勧誘はなく、カウンセリングは無料です。
横浜でモフィウス8が安いクリニックのおすすめの選び方②効果を確認する

編集部横浜でモフィウス8が安いクリニックのおすすめの選び方2つ目は、「効果を確認する」ことです。
美容医療を受ける際に重要なのが「効果」があったかどうかです。
実際に横浜でモフィウス8を受けた方は、効果を感じられているのか気になる方も多いのではないでしょうか。
編集部では、実際にモフィウス8の施術を体験した方にアンケートを行い、効果を実感したタイミングについて調査しました。

モフィウス8の効果実感時期に関するアンケート調査
調査期間: 2025年4月の全期間
調査機関: まぶたのクリニック
調査方法: CrowdWorks・街頭インタビュー調査
調査対象: モフィウス8を受けた、または検討した88人
調査結果:
- 1ヶ月以内に実感した: 36%
- 2〜3週間後から徐々に感じた: 33%
- 2回目以降に明確な効果を感じた: 20%
- あまり変化を感じなかった: 11%
69%が「1ヶ月以内に変化を実感」と回答。
アンケート調査の結果、横浜で実際にモフィウス8を受けた方のうち69%の方が、「1ヶ月以内に変化を実感」したということが分かりました。
多くの方が1ヶ月以内に変化を感じていることからも、モフィウス8は効果を実感しやすい施術といえます。
しかし肌質や悩みの程度によって効果の現れ方には個人差があります。
湘南美容クリニックは、来院数も3,442万人※で安心できるクリニックです。
まずは湘南美容クリニックの無料カウンセリングで、自分に合った施術内容や回数を相談してみましょう。

※2026年3月2日時点
\横浜で安いおすすめのモフィウス8を体験!/
※湘南美容クリニックなら医師照射でも安い!
78,000円でモフィウス8が受けられる。
※無理な勧誘はなく、カウンセリングは無料です。
横浜でモフィウス8が安いクリニックのおすすめの選び方③料金を確認する

横浜でモフィウス8が安いクリニックのおすすめの選び方3つ目は、「料金を確認する」ことです。
編集部モフィウス8は自由診療に分類されるため、料金はクリニックごとに異なります。
施術部位や回数によって費用が変動するほか、割引プランを設けている場合もあるため、事前に確認しておくと安心です。
横浜でモフィウス8を検討している方には、湘南美容クリニックがおすすめです。
湘南美容クリニックでは、モフィウス8が2回で118,000円(税込)で受けられるモニター価格を用意しています。
モニター制度を活用することで、通常よりお得にモフィウス8を受けることができます。
モニターキャンペーンは、事前の無料カウンセリング予約で適用可能です。
今すぐ、湘南美容クリニックの無料カウンセリングを予約して、お得にモフィウス8を受けてみましょう。

\横浜で安いおすすめのモフィウス8を体験!/
※湘南美容クリニックなら医師照射でも安い!
78,000円でモフィウス8が受けられる。
※無理な勧誘はなく、カウンセリングは無料です。
横浜でモフィウス8が安いおすすめのクリニック10選
湘南美容クリニック 横浜付近1院【憧れの美白に!モフィウス8が安い!】
横浜




無料カウンセリング |
当日メイクOK |
有資格者施術 |
キャンペーン |
土日祝対応 |
WEB予約 |
| ポイント | モフィウス8で肌の悩みを幅広く解決できる! |
|---|---|
| 保証 | 安心保証制度あり |
| 割引・キャンペーン | モニター価格あり ポイント会員制度:ご利用金額の1%~6%ポイント還元 お友達紹介制度:紹介者とお友達に5,000円分SBCポイントプレゼント SBC公式アプリでメールアドレス登録とLINE連携で3,000円OFFチケットプレゼント |
| 無料カウンセリング | あり |
| 決済方法 | 現金 クレジットカード デビットカード メディカルローン |
| 院数 | 24院※対象院のみ |
| 営業時間 | 9:00~18:00 |
| 定休日 | なし |
\モフィウス8は安い価格で肌の改善が可能!/
- キャンペーンでお得にモフィウス8の施術が受けられる!
- 肌内部を改善し、しわの改善や肌のハリが手に入る!
- メスを使わない施術方法のためダウンタイムが短い!
湘南美容クリニック 横浜付近1院は、安い価格でモフィウス8を提供している、横浜でおすすめのクリニックです。 モフィウス8はメスを使わない施術方法でダウンタイムが少なく、横浜で忙しい方でも自然な仕上がりで治療を受ける事ができます。 また、安い価格で肌表面だけではなく内部を改善するため、肌のたるみやシワを改善する事ができる点がおすすめです。 横浜で安い価格でモフィウス8を受けたい方におすすめのクリニックのため、まずは気軽に無料カウンセリングを受けてみて下さい。
\モフィウス8は安い価格で肌の改善が可能!/
湘南美容クリニック 横浜付近1院のモフィウス8の料金(税込)
医師照射 1回:78,000円 2回:モニター価格適用で118,000円(通常価格:135,000円) 看護師照射 1回:65,000円 2回:110,000円
\モフィウス8は安い価格で肌の改善が可能!/

毎回、施術前の説明から、施術中、後の説明まで本当に丁寧にしていただき安心して受けることができています。施術もとても丁寧で効果も実感しています。皆さん美しくて気さくに話してくださるのでモチベーションも上がり、来院が毎回楽しみです。今後もよろしくお願いいたします。
引用:Google Maps

初めての来院でしたがカウンセリングや施術などとても丁寧で安心できました。またお願いしたいです。
引用:Google Maps
\モフィウス8は安い価格で肌の改善が可能!/
銀座よしえクリニック 横浜院【安い価格のモフィウス8で肌改善!】
横浜




無料カウンセリング |
当日メイクOK |
有資格者施術 |
キャンペーン |
土日祝対応 |
WEB予約 |
| ポイント | 美肌効果抜群のモフィウス8が安い! |
|---|---|
| 保証 | 記載なし |
| 割引・キャンペーン | モニター価格あり |
| 無料カウンセリング | あり |
| 決済方法 | 現金 クレジットカード メディカルローン |
| 院数 | 3院※対象院のみ |
| 営業時間 | 月~金 10:00~14:00 15:00~19:00 土日祝 10:00~14:00 15:00~18:00 |
| 定休日 | なし |
\肌深部まで治療!肌根本の質改善!/
- モフィウス8で肌のたるみやしわを改善可能!
- 顔以外の体にも施術可能でダイエットの効果あり!
- 肌表面のみではなく深部まで治療可能!
銀座よしえクリニック 横浜院は、横浜でモフィウス8を安い価格で提供している、おすすめのクリニックです。 モフィウス8は、横浜で肌の悩みを持っている方におすすめの治療法で、顔以外でも幅広く治療ができるためおすすめです。 また、肌の表面のみではなく、深部まで治療を行えるため、安い価格で肌質を改善することができます。 横浜で肌質を改善したいと検討されている方は、安い価格でモフィウス8が受けられるためおすすめです。
\肌深部まで治療!肌根本の質改善!/
銀座よしえクリニック 横浜院のモフィウス8の料金(税込)
1回:モニター価格適用で66,000円~(通常価格:132,000円)
\肌深部まで治療!肌根本の質改善!/

とても良いクリニックです。スタッフの皆様、先生が優しく丁寧に対応してくださるので、不安や疑問があったらすぐ相談しています。フォローもしっかりしていますので、毎回安心して通っています。
引用:Google Maps

初めてだったため緊張していましたが、看護師さんも先生もとても丁寧に対応してくださいました。また伺いたいです。
引用:Google Maps
各線横浜駅西口高島屋・ジョイナス直結
神奈川県横浜市西区北幸1-3-23 横浜ベイシェラトン ホテル&タワーズ7階
\肌深部まで治療!肌根本の質改善!/
綱島あお整形外科・皮膚科【肌の根本を改善!安い価格で美肌に!】
横浜




無料カウンセリング |
当日メイクOK |
有資格者施術 |
キャンペーン |
土日祝対応 |
WEB予約 |
| ポイント | 肌の悩みを根本から解決し、美肌を手に入れられる! |
|---|---|
| 保証 | 記載なし |
| 割引・キャンペーン | リピーター割引あり |
| 無料カウンセリング | 初診料:2,200円 再診料:550円 |
| 決済方法 | 現金 クレジットカード 電子マネー コード決済 |
| 院数 | 1院 |
| 営業時間 | 9:00~13:00 15:00~18:00 |
| 定休日 | 木曜日 土曜日午後 日曜日 祝日 |
\安い価格で若々しい肌を手に入れられる!/
- 肌のコラーゲン生成を促進させ、若々しい肌を手に入れられる!
- 安い価格で提供しているため、初めての方でも安心!
- 肌の悩み改善に加え、肌のトーンアップ効果も得られる!
綱島あお整形外科・皮膚科は、肌の悩みを根本から解決できるモフィウス8を、安い価格で提供している横浜でおすすめのクリニックです。 モフィウス8は、肌の深部まで治療してコラーゲン生成を促進させ、若々しい肌を手に入れる事ができるおすすめの治療法です。 また、安い価格で提供しているため、横浜で初めての方でも安心して治療を受ける事ができます。 横浜で肌の悩みを改善したい方におすすめのモフィウス8を安い価格で提供しているため、まずはカウンセリングを受けてみて下さい。
\安い価格で若々しい肌を手に入れられる!/
綱島あお整形外科・皮膚科のモフィウス8の料金(税込)
1回:88,000円 3回:231,000円 リピーター:82,500円
\安い価格で若々しい肌を手に入れられる!/

先生は綺麗でとても優しくて説明も施術も物凄く丁寧で嬉しかったです
どうもありがとうございましたm(_ _)m
引用:Google Maps

先生もスタッフの方々もとても親切で感じが良く、安心感をいただけました。ありがとうございました。
引用:Google Maps
東急東横線綱島駅徒歩4分 東急新横浜線新綱島駅徒歩7分 東急バス綱島西二丁目バス徒歩1分 別所バス停徒歩2分
神奈川県横浜市港北区綱島西2-12-5 AILE ROPE 201
\安い価格で若々しい肌を手に入れられる!/
センススキンクリニック美容皮膚科【切らない施術!美肌・リフトアップ効果あり!】
横浜




無料カウンセリング |
当日メイクOK |
有資格者施術 |
キャンペーン |
土日祝対応 |
WEB予約 |
| ポイント | 切らない施術のため、ダウンタイムが短く自然な仕上がりに! |
|---|---|
| 保証 | 記載なし |
| 割引・キャンペーン | 初回限定価格あり |
| 無料カウンセリング | あり |
| 決済方法 | 現金 クレジットカード |
| 院数 | 1院 |
| 営業時間 | 10:30~18:30 |
| 定休日 | 水曜日 日曜日 祝日 |
\美肌効果に併せてリフトアップも可能!/
- 美肌効果に併せて、リフトアップ効果も期待できる!
- 安価な価格設定で、気軽にモフィウス8の施術が可能!
- 横浜駅から徒歩圏内に所在するため、気軽に通える!
センススキンクリニック美容皮膚科は、切らない施術方法としておすすめのモフィウス8を安い価格で提供している、横浜でおすすめのクリニックです。 モフィウス8は肌にメスを入れる事がないため、ダウンタイムが短く、横浜で初めての方にもおすすめの施術方法です。 また、安い価格で美肌効果だけでなく、リフトアップ効果も期待できます。 横浜でモフィウス8を受けて、肌の質改善をしたい方は、安い価格で施術を受けられるためおすすめです。
\美肌効果に併せてリフトアップも可能!/
センススキンクリニック美容皮膚科のモフィウス8の料金(税込)
初回価格 1回:99,000円 通常価格 1回:165,000円 3回コース:264,000円
\美肌効果に併せてリフトアップも可能!/

先生と看護師さんたちが非常に丁寧で対応もとても温かいのですごく居心地が良いです。
先生も親身になってお話を聞いてくださり、必要ないことはっきりとおっしゃっていただけるのでとても親切だと思ってます。
引用:Google Maps

先生をはじめ、こちらのスタッフの方は皆さんお人柄に魅力を感じる方ばかりです。
引用:Google Maps
横浜駅きた東⼝A出⼝徒歩10分 神奈川駅徒歩8分
神奈川県横浜市神奈川区栄町15番2 BE-WAVE BLDG.2F
\美肌効果に併せてリフトアップも可能!/
irodoriスキンクリニック【しわ・たるみ・肌質改善ができるモフィウス8!】
横浜




無料カウンセリング |
当日メイクOK |
有資格者施術 |
キャンペーン |
土日祝対応 |
WEB予約 |
| ポイント | たるみやしわなどの肌質を改善することができる! |
|---|---|
| 保証 | 記載なし |
| 割引・キャンペーン | モフィウス8新導入キャンペーン:10%~15%OFF 土曜午後リピーター限定:ナース施術15%OFF・ナースの指名料1,100円 |
| 無料カウンセリング | 3,300円 |
| 決済方法 | 現金 クレジットカード |
| 院数 | 1院 |
| 営業時間 | 9:00〜13:00 14:30~18:00 |
| 定休日 | 日曜日 祝日 |
\肌質改善に併せて美容効果も得られる!/
- 個人に最適なモフィウス8のプランを提供している!
- 肌質改善に加え、フェイスラインの引き締めなどの美容効果もあり
- 安価な価格設定で初めての方でも安心して施術が可能!
irodoriスキンクリニックは、肌質を改善する事ができる、モフィウス8を安い価格で受けられておすすめの横浜にあるクリニックです。 横浜で肌のたるみやシワの改善に併せて、美肌効果も期待できるため、モフィウス8はおすすめです。 また、施術前に丁寧なカウンセリングがあり、個人に最適なプランを安い価格で提供しているため、初めての方でも安心できます。 横浜で肌の悩みを抱えている方は、安い価格でモフィウス8の施術を受けることをおすすめします。
\肌質改善に併せて美容効果も得られる!/
irodoriスキンクリニックのモフィウス8の料金(税込)
キャンペーン価格:112,500円 通常価格:125,000円
\肌質改善に併せて美容効果も得られる!/

綺麗なクリニックで、院長先生、看護師さん、スタッフの方みなさんとても親切で丁寧なので、これからもお願いしたいと思える素敵なクリニックでした!
引用:Google Maps

店内はとても綺麗で、清潔感があり、快適でした。スタッフの方々は、親切で感じが良く、すぐに緊張が解けました^ ^
引用:Google Maps
たまプラーザ駅北口徒歩2分
神奈川県横浜市青葉区美しが丘2-15-4 プラザサウスウエストB1
\肌質改善に併せて美容効果も得られる!/
横浜でモフィウス8の治療を受けた方へアンケート調査!リアルな体験談を確認

当記事では、横浜でモフィウス8が安いおすすめのクリニックを検討中の方に向けて、実際に施術を受けた方へアンケート調査を行いました。
Q: モフィウス8で施術を受けた部位を教えてください
Q: モフィウス8の施術中、痛みはどう感じましたか
横浜でモフィウス8を受けた方へのアンケート調査①モフィウス8で施術を受けた部位を教えてください

モフィウス8は様々部位の照射が可能です。
横浜でモフィウス8が安いクリニックを検討している方の中には、どこの施術を受けたのか気になる方も多いのではないでしょうか。
そこで、「受けた部位」について独自のアンケート調査を行いました。

モフィウス8の施術部位に関するアンケート調査
調査期間: 2025年4月の全期間
調査機関: まぶたのクリニック
調査方法: CrowdWorks・街頭インタビュー調査
調査対象: モフィウス8を受けた、または検討した88人
調査結果:
- 顔全体(頬・フェイスライン含む):46%
- あご下・首まわり: 26%
- 毛穴が気になる部位(鼻・頬など): 18%
- ボディ(腹部・二の腕など): 10%
約7割が「顔中心」での施術を選択。
アンケート調査の結果、実際にモフィウス8を受けた方のうち70%の方が、「顔中心」で施術を受けたことが分かりました。
多くの方が顔の悩みを改善するために、モフィウス8を選んでいます。
年齢によるハリの低下や小じわなど、顔全体のエイジングサインに悩む方が多い傾向です。
ただし、最適な施術部位や照射範囲は患者の状態によって異なるため、事前の医師カウンセリングで確認しておきましょう。
湘南美容クリニックでは、経験豊富な医師による丁寧なカウンセリングが可能です。
まずは無料カウンセリングで、自分に合った照射部位やプランを相談してみましょう。

\横浜で安いおすすめのモフィウス8を体験!/
※湘南美容クリニックなら医師照射でも安い!
78,000円でモフィウス8が受けられる。
※無理な勧誘はなく、カウンセリングは無料です。
横浜でモフィウス8を受けた方へのアンケート調査①モフィウス8の施術中、痛みはどう感じましたか

クリニックによって麻酔の種類や使用量が異なるため、事前に相談しておくことをおすすめします。
そこで、「痛みはどうだったか」について独自のアンケート調査を行いました。

モフィウス8の施術中の痛みに関するアンケート調査
調査期間: 2025年4月の全期間
調査機関: まぶたのクリニック
調査方法: CrowdWorks・街頭インタビュー調査
調査対象: モフィウス8を受けた、または検討した88人
調査結果:
- 麻酔でほとんど痛みは感じなかった: 40%
- 一部チクチクしたが我慢できた: 32%
- やや痛かった: 18%
- かなり痛みが強かった: 10%
72%が「痛みは許容範囲」と回答。
アンケート調査の結果、モフィウス8を受けた方のうち72%の方が、「痛みは許容範囲」と回答していることが分かりました。
新しい施術を検討する際に、「痛みが不安」と感じる方は少なくありません。
麻酔を導入しているクリニックを選べば安心して施術を受けられます。
湘南美容クリニックのモフィウス8は「切らない施術」であるため、痛みが少なく安心して受けられます。
まずはカウンセリングで、痛みに関する不安や希望をしっかり相談してみてください。

\横浜で安いおすすめのモフィウス8を体験!/
※湘南美容クリニックなら医師照射でも安い!
78,000円でモフィウス8が受けられる。
※無理な勧誘はなく、カウンセリングは無料です。
横浜でモフィウス8が安いおすすめクリニックに関するよくあるQ&A

ここでは、横浜でモフィウス8が安いクリニックに関するよくある質問・回答をまとめました。
編集部カウンセリングの時間を有意義に過ごすためにも、気になる疑問や不安は事前に確認しておくと安心です。
- 横浜でおすすめの安いモフィウス8のダウンタイムはどのくらいですか?
-
ダウンタイムは一般的に約1~2週間は赤みや浮腫みが出ることがあります。
不安な方は、無料カウンセリングでスケジュールに合わせた施術時期を相談してみましょう。
- 横浜でおすすめの安いモフィウス8はどの部位に効果がありますか?
-
モフィウス8は、目の下・頬・フェイスライン・首など幅広い部位に対応しています。
当編集部おすすめの湘南美容クリニックでは、患者一人ひとりの悩みや肌質に合わせてオーダーメイド照射を行っています。
まずは無料カウンセリングで、自分に合った部位と照射プランを確認してみましょう。
- 横浜でおすすめの安いモフィウス8はどんな肌悩みにおすすめですか?
-
モフィウス8は、たるみ・毛穴・ニキビ跡・小じわなどの複合的な肌悩みにアプローチできます。
当編集部おすすめの湘南美容クリニックは医師が肌質を確認し、最適な出力で照射するため、1回でもハリを実感しやすいと好評です。
気になる肌の状態を詳しく相談したい方は、まず無料カウンセリングがおすすめです。

\横浜で安いおすすめのモフィウス8を体験!/
※湘南美容クリニックなら医師照射でも安い!
78,000円でモフィウス8が受けられる。
※無理な勧誘はなく、カウンセリングは無料です。
横浜でモフィウス8が安いおすすめクリニック 当記事まとめ

当記事では、横浜でモフィウス8が安いおすすめのクリニックについて紹介しました。
横浜でモフィウス8が安いクリニックのおすすめの選び方は下記の3つです。
これらを総合的に満たしているとおすすめなのが、湘南美容クリニックです。
湘南美容クリニックでは、モフィウス8が目の下2回分で118,000円(税込)と、通常よりも安い価格で受けられるモニターキャンペーンを実施しています。
まずは無料カウンセリングから、理想の肌づくりをスタートしてみてください。
\横浜で安いおすすめのモフィウス8を体験!/
※湘南美容クリニックなら医師照射でも安い!
78,000円でモフィウス8が受けられる。
※無理な勧誘はなく、カウンセリングは無料です。






